La limpieza dental es uno de los procedimientos más utilizados por los odontólogos, ya que esta es indispensable para mantener una buena salud bucodental libre de bacterias, porque la rutina de higiene que acostumbramos a hacer diariamente no es suficiente para eliminar todos los depósitos de placa y sarro. Por esa razón, es de vital…
La boca se conforma por distintas piezas internas y externas que cumplen con funciones específicas para ayudarnos a hablar, comer, tragar, etc. Tener una buena salud bucodental hace posible que las funciones mencionadas se ejecuten correctamente. A su vez, los dientes se dividen en diferentes secciones, la corona dental, la raíz, el esmalte, la dentina,…
Todos los seres humanos deseamos tener una sonrisa hermosa, pues, esta es muchas veces nuestra carta de presentación. Sin embargo, es normal que con el paso del tiempo los dientes empiecen a oscurecerse o tomen un color mucho más amarillo. Esto ha hecho que muchas personas se sientan insatisfechas y se realicen tratamientos para blanquearlos. …
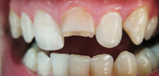
Lamentablemente, existen diversas razones por las que una persona puede perder sus piezas dentales, lo cual puede ocasionar baja autoestima y problemas de confianza, pues, para todos es muy importante tener una hermosa sonrisa, ya que es una la presentación de nuestro rostro. Sin dejar de lado que esto también puede generar graves problemas de…
Los implantes dentales que utilizamos en nuestra clínica dental en Castellón son unos implantes dentales de alta gama. En nuestra clínica dental no nos casamos con ninguna casa comercial, sino que buscamos lo mejor para nuestro pacientes. Aun así actualmente estamos trabajando con Strauman, Zimmer que son dos de las marcas más reconocidas a nivel…
Las caries son una de las enfermedades dentales más comunes, de hecho, se cree que afectan hasta al 90% de la población, siendo muy frecuentes tanto en niños como en adultos. Sin embargo, si esta patología no se trata a tiempo, puede extenderse y afectar capas mucho más profundas del diente, hasta llegar al nervio,…
A todos nos gusta tener una hermosa sonrisa, pero lo cierto es que no todos tienen esa posibilidad porque existen diversos factores que podrían afectar la alineación correcta de los dientes. Por ejemplo, la mala mordida y la maloclusión dental son enfermedades bucodentales que impiden que los dientes superiores e inferiores encajen en el lugar…
Hoy día es muy común el uso de ortodoncia metálica, ya sea para corregir un problema estético o maloclusiones dentales. Sin embargo, gracias a los avances de la tecnología, este tipo de tratamientos se ha renovado, por lo que ahora existen en el mercado alternativas de brackets menos visibles, conocidos como alineadores dentales u ortodoncia…
¿Por qué hay diferencia de precio entre los tipos y marcas de alineadores transparentes? La diferencia de precio entre los diferentes tipos de alineadores transparentes viene regida por la calidad de los materiales, por las marcas comerciales, por el profesional que llevará a cabo el tratamiento y por la duración y dificultad del mismo. Por ejemplo en…
¿Qué es y para qué sirve el Dispositivo de Avance Mandibular? Se calcula que el 40% de la población ronca y el 20% tiene apneas. El dispositivo de avance mandibular (DAM) es un dispositivo que nos permite disminuir el número de apneas siempre que sean obstructivas. El dispositivo de avance mandibular consta de una…
Actualmente se ha puesto de manifiesto la importancia del uso de las mascarillas. Es imprescindible que la población sepa el uso de las mismas para poder escoger la idónea, que será diferente al que usemos en nuestra clínica dental. Básicamente estamos usando 3 tipos de mascarillas ( entre otras) frente a esta situación. Dependiendo de…
Prótesis sin Metal En la Clínica Blay+ Monzó aplicamos la mas alta tecnología en la prótesis sin Metal para nuestros trabajos desde coronas, carillas a incrustaciones de porcelana. Uno de los material que utilizamos para la prótesis libre de Metal es disilicato de Litio (cerámica de vidrio de disilicato de litio) E- Max ( Ivoclair Vivadent)…
Implantología guiada por ordenador Hoy en día el nivel de exigencia alcanzado para los tratamientos de implantología guiada no se refiere tanto a la osteointegración inicial de los implantes, que se da por supuesta. Sino al mantenimiento a largo plazo de la prótesis sobre implantes de una manera estable, en términos de: Salud periodontal y periimplantaria, sin inflamación gingival…
Ortodoncia invisible. Invisalign Invisalign La opción más clara, el original. Invisalign es el mejor sistema de ortodoncia invisible y trata un gran número de problemas ortodóncicos, incluyendo dientes torcidos, apiñados o separados. Además, al ser transparente, extraíble y cómodo, no afectará a tu vida. Al ser casi invisible, prácticamente nadie notará que la llevas podrás…
Odontología minimamente invasiva Actualmente, en Clinica Dental Blay + Monzó solo entendemos la odontología mediante la mínima intervención sobre los tejidos biologicos. La importancia de preservar estructura dentaria, encía, periodonto, hueso es primordial para seguir esta filosofia. En la clínica Dental Blay + Monzó de Castellón esta ciencia se emplea con la tecnología dental más avanzada…
Odontología Cad- Cam En la historia reciente de la odontología todo el trabajo que realizaba el técnico de laboratorio (protésico dental) era absolutamente manual, con los consiguientes problemas tanto humanos como técnicos En la historia reciente de la odontología todo el trabajo que realizaba el técnico de laboratorio (protésico dental) era absolutamente manual, con los consiguientes problemas…
Cookies
Para que este sitio funcione adecuadamente, a veces instalamos en los dispositivos de los usuarios pequeños ficheros de datos, conocidos como cookies. La mayoría de los grandes sitios web también lo hacen.
Aceptar
Cambiar ajustes
Configuración de Cookie Box
Configuración de Cookie Box
Ajustes de privacidad
Decida qué cookies quiere permitir.
Puede cambiar estos ajustes en cualquier momento. Sin embargo, esto puede hacer que algunas funciones dejen de estar disponibles. Para obtener información sobre eliminar las cookies, por favor consulte la función de ayuda de su navegador.
Aprenda más sobre las cookies que usamos.
Con el deslizador, puede habilitar o deshabilitar los diferentes tipos de cookies:
Este sitio web hará:
Este sitio web no:
Esencial: recuerde su configuración de permiso de cookie
Esencial: Permitir cookies de sesión
Esencial: Reúna la información que ingresa en un formulario de contacto, boletín informativo y otros formularios en todas las páginas
Esencial: haga un seguimiento de lo que ingresa en un carrito de compras
Esencial: autentica que has iniciado sesión en tu cuenta de usuario
Esencial: recuerda la versión de idioma que seleccionaste
Functionality: Remember social media settings
Functionality: Remember selected region and country
Analytics: Keep track of your visited pages and interaction taken
Analytics: Keep track about your location and region based on your IP number
Analytics: Keep track of the time spent on each page
Analytics: Increase the data quality of the statistics functions
Advertising: Tailor information and advertising to your interests based on e.g. the content you have visited before. (Currently we do not use targeting or targeting cookies.
Advertising: Gather personally identifiable information such as name and location
Recuerde sus detalles de inicio de sesión
Esencial: recuerde su configuración de permiso de cookie
Esencial: Permitir cookies de sesión
Esencial: Reúna la información que ingresa en un formulario de contacto, boletín informativo y otros formularios en todas las páginas
Esencial: haga un seguimiento de lo que ingresa en un carrito de compras
Esencial: autentica que has iniciado sesión en tu cuenta de usuario
Esencial: recuerda la versión de idioma que seleccionaste
Functionality: Remember social media settings
Functionality: Remember selected region and country
Analytics: Keep track of your visited pages and interaction taken
Analytics: Keep track about your location and region based on your IP number
Analytics: Keep track of the time spent on each page
Analytics: Increase the data quality of the statistics functions
Advertising: Tailor information and advertising to your interests based on e.g. the content you have visited before. (Currently we do not use targeting or targeting cookies.
Advertising: Gather personally identifiable information such as name and location