La endodoncia realizada en nuestra clínica dental de Castellón por el dr Francisco Monzó Es la rama de la odontología que trata la patología de la pulpa ( nervio) y de los tejidos alrededor de la raíz. Se ocupa de prevenir las infecciones dentales, de su curación y de regenerar el propio hueso perdido alrededor del diente como consecuencia de la enfermedad del diente.
¿ Para qué sirve una endodoncia?
Su objetivo principal es salvar el diente y mantener los tejidos que lo rodean. Indicamos este tratamiento en se afecta el nervio por caries, traumatismos o afectaciones periodontales. Esta afectación puede causar aun gran dolor, incluso flemón. Si notara cualquiera de estos signos debe acudir con urgencia a su dentista.
¿Cuál es el tratamiento de una endodoncia en nuestra clínica dental?
El tratamiento se basa en una fase de limpieza del diente, tanto a nivel de su corona como de sus raíces. Una vez limpio se procede a rellenar tanto los conductos de las raíces como la corona del diente. Hoy en día tenemos la suerte de contar con sistemas de obturación que nos permiten poder rellenar en espacios que antes no podíamos. De esta manera nos aseguramos un tanto por ciento mayor de éxito en nuestros tratamientos.
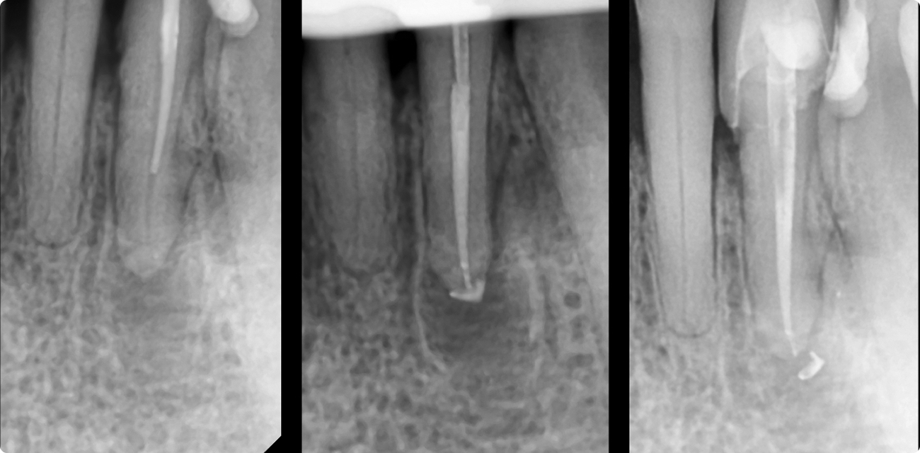
¿Qué importancia tiene la endodoncia?
La endodoncia es una práctica fundamental en nuestra clínica de Castellón. Nuestro lema es “ como tu diente no hay nada”. Creemos firmemente en ella como medio para conservar/ salvar los dientes durante mucho tiempo. Para ello nos ayudamos de la última tecnología, ya sea mediante el microscopio o el CBCT ( radiología 3D). Gracias a ellos podemos ver donde antes no veíamos. De esta manera aumentamos la calidad del tratamiento y disminuimos tiempos.
Aspectos básicos para una buena endodoncia:
Algunas veces sus dientes naturales pueden necesitar una endodoncia (tratamiento de conductos) para poder ser conservados como una parte saludable de su boca.
La mayoría de los pacientes relatan que realizarse un tratamiento de conductos en el momento actual, es tan simple como tratarse una caries y esto es posible gracias a la moderna tecnología con que cuentan los especialistas.
Permite que los tratamientos se hagan en menor tiempo. La mayor parte de ellos en una sola sesión de consultorio.
Completamente indoloros debido a una nueva serie de anestésicos locales que brindan profundidad y larga duración anestésica.
Un aislamiento absoluto de la pieza dentaria a tratar que la separa de todos los factores contaminantes que pueda haber en la boca.
Limas de alta precisión y estandarizadas (todos los fabricantes cumplen con las mismas especificaciones).
Limas fabricadas en Níquel Titanio, metal que posee gran flexibilidad y memoria mecánica que le permite recuperar su forma luego de sufrir deformaciones, esto posibilita instrumentar conductos muy curvos y estrechos conservando la forma original anatómica de los mismos y de esta manera mantener una mayor estructura dentaria.
Las Radiografías digitales son una clase de radiografías que utiliza un pequeño sensor en lugar de la placa radiográfica convencional. El sensor transmite la imagen al monitor de una computadora y puede ser vista en la pantalla tanto por el profesional como por el paciente.
Instrumentación mecanizada. Con el advenimiento del metal de níquel titanio y su sorprendente flexibilidad, comenzó una nueva era de instrumentación o preparación de los conductos radiculares. Se trata de una serie de instrumentos que pueden trabajar dentro de los conductos pero impulsados por un torno de baja velocidad, de esta manera se combina la instrumentación manual (tradicional) con la mecanizada realizando, esta última, un corte y formas muy adecuadas para la anatomía del diente, respetando su diseño interno y ganando en velocidad.
Los localizadores electrónicos apicales han mejorado mucho nuestra capacidad de localizar el límite apical de la preparación del conducto.
Siempre que sea posible, lo mejor son sus propios dientes.
¿Tiene alguna duda sobre algún tratamiento?
Contacte con nuestro equipo, está en buenas manos.
Cookies
Para que este sitio funcione adecuadamente, a veces instalamos en los dispositivos de los usuarios pequeños ficheros de datos, conocidos como cookies. La mayoría de los grandes sitios web también lo hacen.
Aceptar
Cambiar ajustes
Configuración de Cookie Box
Configuración de Cookie Box
Ajustes de privacidad
Decida qué cookies quiere permitir.
Puede cambiar estos ajustes en cualquier momento. Sin embargo, esto puede hacer que algunas funciones dejen de estar disponibles. Para obtener información sobre eliminar las cookies, por favor consulte la función de ayuda de su navegador.
Aprenda más sobre las cookies que usamos.
Con el deslizador, puede habilitar o deshabilitar los diferentes tipos de cookies:
Este sitio web hará:
Este sitio web no:
Esencial: recuerde su configuración de permiso de cookie
Esencial: Permitir cookies de sesión
Esencial: Reúna la información que ingresa en un formulario de contacto, boletín informativo y otros formularios en todas las páginas
Esencial: haga un seguimiento de lo que ingresa en un carrito de compras
Esencial: autentica que has iniciado sesión en tu cuenta de usuario
Esencial: recuerda la versión de idioma que seleccionaste
Functionality: Remember social media settings
Functionality: Remember selected region and country
Analytics: Keep track of your visited pages and interaction taken
Analytics: Keep track about your location and region based on your IP number
Analytics: Keep track of the time spent on each page
Analytics: Increase the data quality of the statistics functions
Advertising: Tailor information and advertising to your interests based on e.g. the content you have visited before. (Currently we do not use targeting or targeting cookies.
Advertising: Gather personally identifiable information such as name and location
Recuerde sus detalles de inicio de sesión
Esencial: recuerde su configuración de permiso de cookie
Esencial: Permitir cookies de sesión
Esencial: Reúna la información que ingresa en un formulario de contacto, boletín informativo y otros formularios en todas las páginas
Esencial: haga un seguimiento de lo que ingresa en un carrito de compras
Esencial: autentica que has iniciado sesión en tu cuenta de usuario
Esencial: recuerda la versión de idioma que seleccionaste
Functionality: Remember social media settings
Functionality: Remember selected region and country
Analytics: Keep track of your visited pages and interaction taken
Analytics: Keep track about your location and region based on your IP number
Analytics: Keep track of the time spent on each page
Analytics: Increase the data quality of the statistics functions
Advertising: Tailor information and advertising to your interests based on e.g. the content you have visited before. (Currently we do not use targeting or targeting cookies.
Advertising: Gather personally identifiable information such as name and location