Todos deseamos tener una sonrisa brillante que nos brinde seguridad y confianza no solo al hablar sino también al sonreír, sin embargo, por diversas razones pueden aparecer manchas en los dientes, lo cual más que un problema de estética e higiene es un asunto de salud bastante delicado. ¿Qué es? Se trata de manchas amarillas,…
La limpieza dental es uno de los procedimientos más utilizados por los odontólogos, ya que esta es indispensable para mantener una buena salud bucodental libre de bacterias, porque la rutina de higiene que acostumbramos a hacer diariamente no es suficiente para eliminar todos los depósitos de placa y sarro. Por esa razón, es de vital…
La mayoría de la población, tanto niños como adultos, han sufrido en algún momento fracturas en sus piezas dentales. Las cuales pueden ser ocasionadas por algún accidente, caídas o por morder alimentos u objetos duros. Además, también existen muchos hábitos que pueden generar grietas en los dientes. Un diente roto puede provocar mucho dolor y…
La boca se conforma por distintas piezas internas y externas que cumplen con funciones específicas para ayudarnos a hablar, comer, tragar, etc. Tener una buena salud bucodental hace posible que las funciones mencionadas se ejecuten correctamente. A su vez, los dientes se dividen en diferentes secciones, la corona dental, la raíz, el esmalte, la dentina,…
Los dientes suelen ser nuestra mejor presentación, tanto al conversar como al sonreír, de ahí la necesidad de lucir una dentadura radiante. Por ello, la estética dental ha llegado a tomar un lugar importante no solo para las personas que se desenvuelven en los medios artísticos sino también para todos los que desean tener una…
Todos los seres humanos deseamos tener una sonrisa hermosa, pues, esta es muchas veces nuestra carta de presentación. Sin embargo, es normal que con el paso del tiempo los dientes empiecen a oscurecerse o tomen un color mucho más amarillo. Esto ha hecho que muchas personas se sientan insatisfechas y se realicen tratamientos para blanquearlos. …
Todos deseamos tener una sonrisa perfecta y que nuestros dientes sean totalmente blancos. Sin embargo, los dientes naturalmente no tienen un color puramente blanco, más bien, los dientes sanos pueden tener ciertos tonos de amarillo. No obstante, el problema surge si el tono de los dientes es excesivamente amarillo, ya que puede ocasionar conflictos de…
Lamentablemente, existen diversas razones por las que una persona puede perder sus piezas dentales, lo cual puede ocasionar baja autoestima y problemas de confianza, pues, para todos es muy importante tener una hermosa sonrisa, ya que es una la presentación de nuestro rostro. Sin dejar de lado que esto también puede generar graves problemas de…
Sonreír mejora nuestra apariencia y por esto es importante que nos tomemos en serio nuestra área bucal, ya que esta queda expuesta a las miradas de nuestros interlocutores. Sin embargo, esto podría convertirse en un serio problema si no acostumbramos a visitar al odontólogo por miedo o sufrimos ataques de pánico ante una supuesta situación…
Los implantes dentales que utilizamos en nuestra clínica dental en Castellón son unos implantes dentales de alta gama. En nuestra clínica dental no nos casamos con ninguna casa comercial, sino que buscamos lo mejor para nuestro pacientes. Aun así actualmente estamos trabajando con Strauman, Zimmer que son dos de las marcas más reconocidas a nivel…
Las caries son una de las enfermedades dentales más comunes, de hecho, se cree que afectan hasta al 90% de la población, siendo muy frecuentes tanto en niños como en adultos. Sin embargo, si esta patología no se trata a tiempo, puede extenderse y afectar capas mucho más profundas del diente, hasta llegar al nervio,…
El desgaste dental es considerado uno de los problemas más comunes entre las personas. De hecho, se cree que la mitad de la población ha sufrido en algún momento de esta afección en alguna de sus piezas dentales. Esto no solo genera pérdidas en el grosor dental, sino que puede ocasionar otros problemas, como la…
Muchas personas sufren dolores emocionales debido al posicionamiento de sus dientes. Ya que una sonrisa armoniosa puede embellecer nuestro rostro y transmitir a otros emociones positivas. Además, la sonrisa va más allá de solo el aspecto físico, sino que también está muy relacionada con la salud bucodental, porque el apiñamiento de los dientes puede ocasionar…
Dolor en la mandíbula, en los dientes y en la cabeza, son algunos de los malestares que presentan algunas personas al despertarse. ¿Alguna vez te ha pasado? A veces no le damos tanta importancia, en especial cuando no es frecuente. Pero, ¿sabías que esto puede estar relacionado con algún tipo de trastorno? Así es, por…
A todos nos gusta tener una hermosa sonrisa, pero lo cierto es que no todos tienen esa posibilidad porque existen diversos factores que podrían afectar la alineación correcta de los dientes. Por ejemplo, la mala mordida y la maloclusión dental son enfermedades bucodentales que impiden que los dientes superiores e inferiores encajen en el lugar…
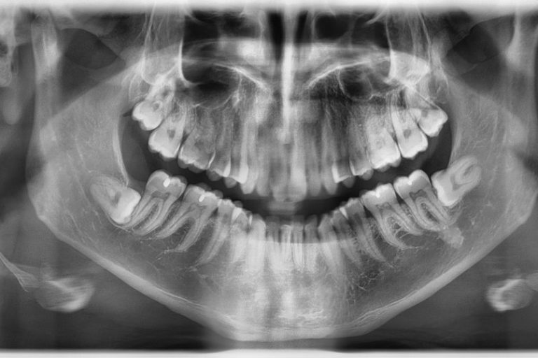
Las muelas del juicio o cordales son cuatro piezas que se ubican en la última parte de la dentadura, dos muelas del lado inferior y las otras dos del lado superior. De todos los dientes estas son las últimas en salir, de hecho, tardan mucho tiempo en brotar por completo y, cuando lo hacen normalmente…
La sonrisa es considerada como un acto de alegría, confianza y seguridad, muy utilizada a la hora de socializar. Por esa razón, la falta de dientes puede ocasionar en las personas muchas inseguridades o miedos. Lamentablemente, este problema es muy común y puede originar otros, tanto emocionales como en la salud bucodental. Por lo tanto,…
En muchas personas la realización de ciertas actividades como beber, comer o cepillarse, causa un dolor temporal y muy agudo, el cual puede resultar muy molesto. Este problema se conoce como sensibilidad dental y afecta al 35% de la población. Debido a ello, muchos se preguntan qué pueden hacer para evitar o calmar la hipersensibilidad.…
El dolor en los dientes o muelas es una de las principales razones de consultas odontológicas, ya que es considerado como una de las molestias más intensas. Por lo que es uno de los mayores terrores de muchas personas. Así que, si tú o alguien cercano a ti está experimentando este dolor, o simplemente deseas…
Hoy día es muy común el uso de ortodoncia metálica, ya sea para corregir un problema estético o maloclusiones dentales. Sin embargo, gracias a los avances de la tecnología, este tipo de tratamientos se ha renovado, por lo que ahora existen en el mercado alternativas de brackets menos visibles, conocidos como alineadores dentales u ortodoncia…
El bienestar físico como la buena salud son aspectos muy importantes en la vida de cada persona. A fin de sentirse saludables muchos acuden al médico regularmente para hacerse chequeos y evitar enfermedades graves. En ese sentido, la buena salud bucal tiene igual importancia. Asistir a una consulta odontológica para una limpieza y revisión de…
Existe una gran variedad de enfermedades dentales o bucales, las cuales son un gran riesgo para la salud tanto en niños como en adultos. Y aunque no todas las personas van a padecer tales problemas, algunas afecciones son más comunes que otras. Una de estas enfermedades es la periodontitis o piorrea, la cual lamentablemente es…
Muchas personas se preguntan si sangrar un poco luego del cepillado o uso del hilo dental es normal, ya que el sangrado de encías es muy común en la población, tanto en niños como en adultos. Sin embargo, los especialistas en el tema mencionan que las encías sanas no deberían sufrir este problema al realizar…
Una visita al odontólogo para muchos solo consiste en una revisión periódica y realizar una limpieza dental. Mientras que para otros en ocasiones es más que eso, ya que existe una diversidad de malformaciones bucodentales que hacen daño a la salud. De hecho, más allá de prestar atención a la estética, hay consecuencias aún más…
¿Por qué hay diferencia de precio entre los tipos y marcas de alineadores transparentes? La diferencia de precio entre los diferentes tipos de alineadores transparentes viene regida por la calidad de los materiales, por las marcas comerciales, por el profesional que llevará a cabo el tratamiento y por la duración y dificultad del mismo. Por ejemplo en…
Las muelas del juicio o terceros molares son los últimos en erupcionar. Los dientes van naciendo por etapas: primero los incisivos, después los caninos, los premolares y los molares y, finalmente las muelas de juicio. Los dentistas también llaman a las muelas de juicio los terceros molares y surgen en la parte trasera de la…
Las manchas blancas en los dientes son uno de los motivos más habituales de consulta en nuestra clínica dental en Castellón. Hasta hace bien poco eran complejas de solucionar y todos los métodos eran bastante invasivos teniendo que retirar bastante superficie dental hasta hace 10 años que en la universidad de Charité se desarrolló un…
La maloclusión dental es el mál engranaje entre los dientes superiores e inferiores. Cuando una persona sufre maloclusión dental las piezas dentales superiores no encajan de manera adecuada con las inferiores. Una de las causas principales de la maloclusión dental es por herencia y hay otras causas que se pueden prevenir. Por ejemplo, evitar que los…
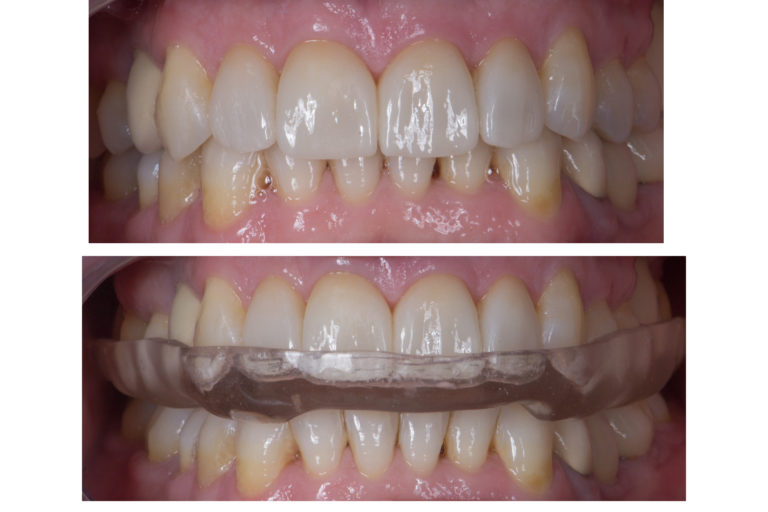
¿Qué es y para qué sirve el Dispositivo de Avance Mandibular? Se calcula que el 40% de la población ronca y el 20% tiene apneas. El dispositivo de avance mandibular (DAM) es un dispositivo que nos permite disminuir el número de apneas siempre que sean obstructivas. El dispositivo de avance mandibular consta de una…
Las enfermedades bucales son más comunes de lo que las personas piensan. Según estudios, aproximadamente un 40% de la población mundial sufre de ellas, ya que se tiende a descuidar mucho la higiene bucal. Una de las más comunes es la retracción de encías, también conocida como recesión gingival, esta está asociada a síntomas muy…
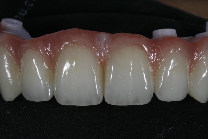
La prótesis híbrida sobre implantes dentales consta de una prótesis dental implantosoportada fija que el paciente no se tiene que retirar, que sustituye dientes y tejido blando, normalmente se realizan de materiales tipo resinas o composites. Los nuevos materiales nos permiten realizar prótesis de muy alta calidad a un coste inferior a las prótesis de…
A continuación te mostraremos unos cuantos tips para acudir a tu clínica dental sin miedo. Tu dentista de confianza velará por tu salud dental. Encuentra a tu dentista de confianza. Busca una clínica dental con buenas referencias e infórmate de sus tratamientos. Puedes visitar la clínica dental antes de tu primera visita, asi conoceras al…
¿Te duele una muela? y no puedes ir al dentista? tienes un dolor insoportable, agudo, pulsátil ?…y no puedes ir a la clinica dental? estás buscando el remedio, el truco o el mejor consejo para quitar el dolor. La buena noticia es que en este post encontraras remedios que te pueden ayudar momentáneamente a disminuir…
La clínica dental Blay+Monzó en Castellón incorpora un nuevo escáner intraoral a su clínica. En la apuesta de la clínica por la digitalización y la adquisición de todas las nuevas tecnologias, hemos incorporado a nuestra practica clínica un segundo escáner intraoral para seguir con nuestro flujo digital. Tomar los moldes dentales, hacer un diseño digital…
No son muy comunes, pero muchos expertos señalan que va en aumento. Las alergias en odontología suelen ser a los materiales que se emplean; pero como no suelen ser problemas muy generalizados, no se suelen sustituir por materiales de otro tipo a nivel general. Sólo se buscan alternativas cuando se sabe de la hipersensibilidad del…
Hoy vamos a comentar el software de la ortodoncia invisible más conocida.Si te has interesado alguna vez por la ortodoncia invisible… o incluso si ya estás con ella, seguramente hayas oído hablar del «Clincheck». El ClinCheck es un programa que utilizamos en clinica Blay + Monzó de para planificar el tratamiento de ortodoncia con alineadores transparentes. Este programa…
El Diseño de Sonrisas abarca un conjunto de pruebas y estudios que se le realizan al paciente para valorar su futura sonrisa. Podemos mostrar antes de empezar el tratamiento cual va a ser el resultado final , incluso pacientes que presentan restauraciones fallidas o que no quedaron contentos les presentamos cómo podría quedar su nueva…
Existen ya hace algunos años unos materiales de nueva generación en Odontología que utilizamos habitualmente en nuestra clínica dental como el Zirconio, Cerámicas híbridas, composites reforzados, disilicato de litio. Todos ellos asociados a la Odontología CAD CAM. Casi todos ellos mecanizados mediate un fresado y acabado en laboratorio dental para sustituir o complementar las restauraciones…
Actualmente se ha puesto de manifiesto la importancia del uso de las mascarillas. Es imprescindible que la población sepa el uso de las mismas para poder escoger la idónea, que será diferente al que usemos en nuestra clínica dental. Básicamente estamos usando 3 tipos de mascarillas ( entre otras) frente a esta situación. Dependiendo de…
Realizamos gingivectomias en nuestra clínica dental de Castellón cada semana por la importancia que le damos a la salud del tejido blando en todo tratamiento dental. Una buena salud y estética de las encías es primordial para un resultado satisfactorio y predecible a largo plazo. La gingivectomía es la eliminación de tejido gingival con el…
La clínica acaba de adquirir un dispositivo purificador de aire para la instalación en la sala de espera. Después de estar investigando e informándonos de la opciones disponibles tras la crisis sanitaria producida por el Covid – 19 nos hemos decidido por el que consideramos mejor y más seguro dispositivo. Elimina el 99% de sustancias…
Ante la nueva situación creada y la solicitud de la suspensión temporal de las clínicas dentales, así como la habilitación de una red de clínicas dentales provinciales para la atención exclusiva de urgencias, el Consejo General emite las siguientes recomendaciones RECOMENDACIONES DE BUENAS PRÁCTICAS PARA LA ATENCIÓN DE URGENCIA Limitar al máximo la emisión de…
En nuestra clínica abogamos por La prevención, como el mejor tratamiento para una buena salud oral. El principal objetivo de la prevención es la educación y promover estilos de vida saludables. Informar es fundamental para que se entienda la importancia de adquirir unos correctos hábitos en salud dental, ya que muchas veces se adquieren hábitos…
En nuestra clínica de Castellón apostamos por esta técnica que conjuga la efectividad de la ortodoncia tradicional con los beneficios de la tecnología 3D. La ortodoncia con alineadores transparentes ha llegado para quedarse. Es un tratamiento que está de moda, sobre todo en pacientes adultos. No obstante, es necesario recordar que también puede aplicarse en…
Prótesis sin Metal En la Clínica Blay+ Monzó aplicamos la mas alta tecnología en la prótesis sin Metal para nuestros trabajos desde coronas, carillas a incrustaciones de porcelana. Uno de los material que utilizamos para la prótesis libre de Metal es disilicato de Litio (cerámica de vidrio de disilicato de litio) E- Max ( Ivoclair Vivadent)…
Implantología guiada por ordenador Hoy en día el nivel de exigencia alcanzado para los tratamientos de implantología guiada no se refiere tanto a la osteointegración inicial de los implantes, que se da por supuesta. Sino al mantenimiento a largo plazo de la prótesis sobre implantes de una manera estable, en términos de: Salud periodontal y periimplantaria, sin inflamación gingival…
Ortodoncia invisible. Invisalign Invisalign La opción más clara, el original. Invisalign es el mejor sistema de ortodoncia invisible y trata un gran número de problemas ortodóncicos, incluyendo dientes torcidos, apiñados o separados. Además, al ser transparente, extraíble y cómodo, no afectará a tu vida. Al ser casi invisible, prácticamente nadie notará que la llevas podrás…
Inlays – Onlays en Odontologia ( Incrustaciones) MÁS ESTÉTICO Y MÁS CONSERVADOR En Blay + Monzó clínica dental en Castellón apostamos por tratamientos lo mas conservadores y estéticos posibles. A la vez que predecibles. Esto sólo es posible aplicando una Odontologia Especializada con rigor y cariño en cada uno de nuestros trabajos. Son restauraciones indirectas…
Odontología minimamente invasiva Actualmente, en Clinica Dental Blay + Monzó solo entendemos la odontología mediante la mínima intervención sobre los tejidos biologicos. La importancia de preservar estructura dentaria, encía, periodonto, hueso es primordial para seguir esta filosofia. En la clínica Dental Blay + Monzó de Castellón esta ciencia se emplea con la tecnología dental más avanzada…
Odontología Cad- Cam En la historia reciente de la odontología todo el trabajo que realizaba el técnico de laboratorio (protésico dental) era absolutamente manual, con los consiguientes problemas tanto humanos como técnicos En la historia reciente de la odontología todo el trabajo que realizaba el técnico de laboratorio (protésico dental) era absolutamente manual, con los consiguientes problemas…
Periodontitis La periodontitis es una enfermedad inflamatoria de los tejidos periodontales que puede dar lugar a la pérdida gradual de los dientes y de las estructuras que los soportan. Las bacterias y sus toxinas proliferan y generan la placa bacteriana. Si no se elimina la placa con una higiene oral adecuada, se forma el sarro debido al depósito de minerales.…
Diseño de sonrisas En la clinica Dental Blay + Monzó en Castellón puede encontrar la misma tecnología que en los mejores centros dentales del mundo. Utilizamos un sistema de diseño de sonrisas que va más allá de la odontología convencional . Combinamios los cuatro factores más importantes de la sonrisa perfecta: color, forma, posición y labios. Estos 4…
DOLOR – DISFUNCIÓN DE LA ARTICULACIÓN TEMPOROMANDIBULAR El dolor orofacial es una de las patologías más consultadas en centros dentales. En la clínica dental Blay+Monzó analizamos y tratamos origen y síntomas de dicho dolor . De hecho el origen principal del dolor orofacial es la presencia de una disfunción de la ATM. Combinamos terapia bucodental…
Reendodoncia – Retratamiento Endodóntico Retratamientos en endodoncia: en la actualidad, las técnicas endodónticas han evolucionado en gran medida. Y Basicamente, una endodoncia fracasa por: -error en la selección del caso. Es decir, el diente no se puede salvar (reabsorcion externa, etc) -errores durante el tratamientos. Estos son, por ejemplo, lima farcturada, falta de irrigación, etc…
Cancer Oral El cáncer oral es una enfermedad por la que se forman células malignas (cancerosas) en los tejidos de los labios y la boca. La cavidad oral incluye los siguientes elementos: Las dos terceras partes delanteras de la lengua. Las encias . La mucosa yugal (revestimiento interior de las mejillas). El suelo (fondo) de la boca debajo de…
Salud Oral y Embarazo – Castellón La salud oral es una parte muy importante de los cuidados durante el embarazo y por eso en la clinica Blay + Monzó nos hemos adherido a la campaña del consejo de dentistas y la fundación dental española. El lema de dicha campaña es comparte con tu bebe una…
Irrigadores Bucales Los irrigadores bucales son aparatos (generalmente eléctricos) que proyectan un chorro pulsátil de agua a presión en el interior de los espacios entre los dientes y las encías. Su utilización es extremadamente fácil y sus beneficios múltiples: Facilita la limpieza de las zonas más delicadas (implantes, coronas, puentes…) y de los dientes de…
Salud Oral en los niños Guión de salud oral para niños. Su sonrisa de mañana comienza hoy. Consejos ante la aparición de los primeros dientes: Lo que sienten los bebés en la salida de los dientes es un cierto escozor y presión en la encía, que se intensifica cuando el bebé está…
Caso clínico: Fundas porcelana Paciente bruxista que acude a nuestra consulta para mejorar función y estética. Presenta zonas edéntulas posteriores que rehabilitamos con implantes inmediatos. Después de valorar opciones y teniendo en cuenta las expectativas del paciente se decide rehabilitar maxilar superior para más adelante hacerlo con el inferior. Encerado, montaje en articulados, implantes,…
Curso Diseño digital de la Sonrisa El Diseño digital de sonrisas se ha convertido en la revolución de la odontología actual. Maxima planificación y mínima intervención. Este fin de semana he podido estar con grandes profesionales en el curso de diseño digital de sonrisas DSD concept. Este protocolo se establece para hacer un diagnostico y…
Higiene bucodental en pacientes con brackets Con unos dientes apiñados o torcidos es más difícil mantener una correcta higiene dental además de realizar movimientos masticatorios incorrectos. Además, existen otros factores como el desgaste o la fractura de la superficie de los dientes, la mala oclusión que origina dolores de cabeza y cervicales, etc. El tratamiento…
Brackets – Ortodoncia- Famosos La ortodoncia o los brackets de Clínica Blay + Monzó en Castellón es la misma que ha hecho que muchos personajes famosos luzcan ahora una sonrisa de cine. ¿Te da vergüenza llevar brackets?. Entra en esta galeria y te sorprenderás quien los llevo. y en esta otra galería veras…
Traumatismo dental en el niño Los traumatismos dentales en los niños son más comunes de lo que la gente cree y deberíamos saber que hacer ante dicho problema. Os dejamos a continuación el protocolo de la Sociedad Española de Odontopedriatia ante un traumatismo dental en el niño http://www.odontologiapediatrica.com/img/quesabersobretraumatismosdentales.pdf
Implantes con Carga Inmediata Los implantes con Carga Inmediata constituye la versión más avanzada de la técnica implantológica, y permite disfrutar en un solo día de nuevos dientes que se anclan en la mandíbula o en el maxilar de la misma forma que lo hacen los naturales. En clínica Blay-Monzó intentamos, siempre que sea posible,…
Curso de estética con composites Clínica Blay +Monzó, en su lucha por reinventarse y mejorar, acudió al curso de estética en el sector anterior, en el hotel Intur de Castellón el 8 y 9 de Mayo. Gracias a Silvia del Cid, gran profesional y mejor persona, aprendimos magníficas técnicas de estratificación en el sector…
Gestión de la clínica dental Clínica Blay-Monzó asistió el pasado fin de semana a un curso de gestión de clínica dental de la mano de Gestión dental integral. Se organizó en la clínica del doctor David Alfaro en Albacete. Una buena gestión de la clínica es fundamental para su buen funcionamiento. No solo para…
Blanqueamiento Zoom La clínica Blay +Monzó dentro de su afán por ofrecer en Castellón la mejor Odontología del mundo ha adquirido el mejor sistema de blanqueamiento que existe: blanqueamiento zoom. Lo mejor para nuestros pacientes en Castellón. El secreto del mejor blanqueamiento profesional reside en la aplicación de la luz LED complementada con la…
Curso de prótesis fija CURSO DE PRÓTESIS FIJA Clínica Blay-Monzó acudió el pasado viernes al curso teorico-práctico en prótesis fija impartido por la doctora Eva Berroeta, en el Colegio de Odontólogos y Estomatólogos de Cataluña (COEC). En nuestra clínica consideramos que es muy importante reciclarnos. Esta profesión está en continuo cambio, y es imprescindible…
Curso regeneración ósea en implantología El pasado fin de semana Gonzalo Blay asistió en Mazarrón, Murcia al curso con título “Manejo del sector posterior edéntulo”. En él, tres de los máximos artífices de la regeneración ósea en odontología han compartido su manera de trabajar y tratar los casos más extremos. Los dres. Juan Alberto…
Colaboración con asociación de niños de Ucrania-castellón ( Aniuk-CAS) Otro año más, la clínica Blay-Monzó colabora con la asociación de niños de Ucrania-Castellón. hoy en dia, la odontología se ha convertido en una profesión muy competitiva. por esto, debemos ensalzar aún más los valores como la humanidad y la solidaridad, desgraciadamente olvidado en ocasiones…
Fracasos en Implantología Lamentablemente observamos que acuden a nuestra clínica dental en Castellón pacientes con fracasos en tratamientos en Implantología. Pacientes que acuden con diversos problemas relacionados con los implantes colocados no hace tanto tiempo. Un mal diagnóstico, una mala planificación, un mal diseño de la prótesis, un mal mantenimiento e imposibilidad de higiene correcta…
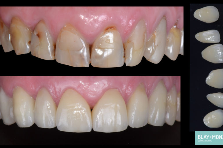
Caso Clínico: Incisivo central Paciente que acude a nuestra consulta con fractura de restauración anterior. Solución: Siempre conservando al máximo, mínima intervención y odontología adhesiva. Carilla 3/4 de porcelana e- max.
¿Por qué tengo los dientes amarillos? En la actualidad, cada vez hay más preocupación por la estética. por esto la gente se pregunta porqué sus dientes son de color amarillo, por ejemplo. Hay varios puntos que mencionar a cerca de esto. El sistema Munsell (1942) es el que más se adecua para la clasificación del…
Prótesis completa La prótesis completa removible es un tipo de prótesis que se basa en sustituir todos los dientes de la arcada ( se conoce coloquialmente como dentadura ). Pertenece al grupo llamado mucosoportada. Esto quiere decir que su retención depende únicamente de la encía. Por eso son las prótesis de mayor extensión en la…
Consejo de dentistas. Información A continuación os dejamos unos enlaces con la información oficial del Consejo de Dentistas de España. Los pacientes tienen que estar informados de lo bueno y de las posibles consecuencias negativas si las hubiere. En la Clínica Blay + Monzó nos encargamos de informar a los pacientes. Los doctores responderán a todas sus…
Cursa de la Dona castellón Un año más, Clínica Blay+Monzó colabora en la “Cursa de les Dones”. Ésta es una carrera no competitiva cuyo lema este año es: “Som moltes, caminen unides”. La distancia será de 3 km por las principales calles de Castellón. Os animamos a que participéis (para todas las edades). Para más…
Carillas de cerámica vs composite Carillas de cerámica vs de composite: Hoy en día hay muchos tipos de tratamientos estéticos, entre ellos destacan las carillas. Son estructuras de porcelana o composite (resina) que se colocan sobre las superficies de los dientes del frente anterior. su misión fundamental es estética. Hay dos ejemplos claros según las necesidades:…
Nuevos Materiales dentales En la actualidad existen cantidad de nuevos materiales dentales. Es una ciencia que no deja de avanzar y hay que estar constantemente actualizados. Nuestra profesión nos exige estar muchos fines de semana fuera en cursos, congresos y demás colaboraciones trabajando con nuevos materiales y técnicas. Trabajando con técnicos dentales que estén a…
Halitosis o mal aliento Hoy en día, la halitosis o también llamado mal aliento, es un problema muy frecuente entre la población. De hecho, según numerosos estudios, se produce en una de cada dos personas. Este problema se considera de carácter social,y genera gran incomodidad entre la gente que lo sufre. Atendiendo al origen, podemos…
Clínica Blay-Monzó con el tenis playa Clínica Blay-Monzó apuesta por la vida saludable. Lógicamente, esto incluye el deporte. Por ello, hemos decidido patrocinar el circuito provincial de tenis playa. Es un deporte muy divertido y que no tiene edad, sólo se necesita una pala y muchas ganas. El resto lo ponen un fantástico equipo de…
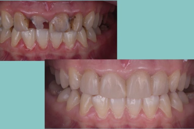
Caso clínico: Estética El caso clínico de estética dental que presentamos es una paciente que se le realizo un blanqueamiento y odontología restauradora mínimamente invasiva para cambiar los empastes en mal estado de su boca y sanear el tejido periodontal. Después de estudio de la sonrisa exhaustivo y el protocolo de actuación se le colocaron…
Caso Clínico: estética dental La estética dental es una de nuestras especialidades en Castellón. Después del estudio de sonrisas y una buena ejecución conseguimos sonrisas espectaculares. Uno de los complejos más grandes que llegan a nuestra clínica se debe a los dientes grises debido a una medicación que se tomaba hace tiempo como la tetraciclinica.…
La sonrisa La sonrisa es muy importante en el día a día. Actualmente existe mucha preocupación por la estética. La gente, cada vez, se interesa más por su físico, hace más deporte, incluso ha aumentado el número de cirugías estéticas. Pero, dejando a un lado la parte más superficial, vamos a analizar los principales significados y…
Implantología Inmediata La implantología inmediata consiste en la colocación simultánea a la extracción de piezas dentales con patología no restaurable. Es decir, en el mismo acto se quita el diente y se coloca un implante dental. Y en muchos de los casos colocamos un diente provisional sobre el propio implante. Es una técnica compleja y…
Microscopio dental La revisión dental es quizás el tratamiento más importante en nuestra práctica diaria ya que es el inicio de todo. Ademas de la rutina diaria del cuidado dental que consiste en el cepillado de dientes tras cada ingesta de comida, el uso de seda dental, colutorios y cepillos para lengua y paladar. Hay que…
Caso: Ortodoncia Invisible Esta paciente fue tratada con ortodoncia invisible Invisalign. Después de 14 meses observamos una sonrisa mucho más amplia y bonita. Ampliar el corredor bucal es un procedimiento en odontología estética que hace más amplias las sonrisas y la vez más bonitas. Invisalign nos permite luego de la planificación conseguirlo.
Reconstrucción dental La reconstrucción dental, comúnmente llamados empastes dentales, son los tratamientos más frecuentes en el día a día de cualquier consulta dental. En la mayoría de los casos se trata de rehacer el diente afectado, devolviéndole tanto su anatomía original, como su funcionalidad. Este tipo de tratamientos se realizan normalmente con resinas compuestas. Cabe destacar…
La caries y los hidratos de carbono. La importancia de la dieta Los hidratos de carbono son los azúcares que ingerimos en nuestra dieta. El más conocido es la sacarosa (azúcar de mesa). La caries es una enfermedad infecciosa transmisible, la más común que afecta a los dientes, en la que ácidos producidos por las…
Microscopio dental El otro día nuestro doctor Gonzalo Blay fue entrevistado en la Cadena Cope para dar algunos consejos sobre las enfermedades de las encías y de su tratamiento. Os dejamos la entrevista y los puntos más importantes que se quisieron resaltar. Periodontitis o enfermedad de las encías ( piorrea) El motivo por el que…
Sabías que…? ¿Cual es el origen de la odontología? En el 4500 a.C. se encontraron en Eslovaquia restos de dientes con rellenos, pero en el año 3000 a.C. los médicos egipcios ya insertaban piedras preciosas en los dientes. En el 700 a.C. los fenicios ya utilizaban bandas y alambres de oro para la construcción de…
Caso: Blanqueamiento dental. Os presentamos otro caso de blanqueamiento dental con el sistema Zoom (lampara Led) realizado en nuestra clínica de Castellón. Os recordamos que es un tratamiento que requiere de un dentista colegiado y de una medidas pre y post tratamiento. Tratamiento realizado en 1 hora
Dientes de leche Los dientes de leche varían en tamaño, forma y localización en la cavidad oral. Estas diferencias permiten que los dientes trabajen juntos para ayudar a masticar, hablar y sonreír. También ayudan a dar la forma y estructura a la cara. La primera etapa de erupción dentaria comienza hacia los seis meses de…
Cirugía dental Ultrasónica La cirugia dental ultrasónica nos permite ser mas precisos y más seguros a la hora de realizar los tratamientos más complejos en odontología. Recientemente adquirimos en la Clínica un equipo de cirugía con ultrasonidos ( Piezosurgery) con el cual podemos hacer las cirugías más complejas con la mínima intervención posible. Mejorando el…
Sedación en clinica dental La sedación en la clínica dental es una técnica que se emplea cada vez más. Existen varias técnicas que ayudan a que las visitas al dentista sean más relajadas y cómodas. Algunos medicamentos ayudan a relajarse y otros provocan un sueño profundo durante el tratamiento dental. El tipo de procedimiento, su salud…
Caso: Ortodoncia transparente Os presentamos un caso solucionado con ortodoncia transparente sistema Invisalign. Después de 18 meses obtenemos este resultado. Sonrisa más amplia y armonica Mejor oclusión
Importancia de los dientes de leche Es fácil pensar que los dientes de leche no valen la pena cuidar ya que no son los definitivos. Muchas veces escuchamos el siguiente comentario: “los dientes de leche no tienen importancia, total se van a caer”. Esta idea es totalmente errónea ya que los dientes de leche son…
Casos Ortodoncia A continuación os presentamos tres casos de ortodoncia más. El primero de ellos tratado con Invisalign Lite, los otros dos con braquets estéticos. Resultados espectaculares, para pacientes especiales. Los doctores estudian cada caso de forma individualizada para llegar a estos resultados. Esperamos que os guste.
Estética bucodental Cada vez, nuestros pacientes nos demandan más estética bucodental. Antaño nos centrábamos en la funcionalidad, es decir, en que nuestros pacientes pudiera comer bien. Hoy día han cambiado mucho las cosas, la sociedad impone diferentes criterios; la búsqueda de la perfección externa se está imponiendo. Casi todo el mundo va al gimnasio, quiere estar en…
Fracturas dentales: caso Las fracturas dentales son más comunes de lo que nos creemos, con distintas clínicas y opciones de tratamiento dependiendo de la patología. Este verano hemos tenido varios casos de fracturas dentales y gracias a los conocimientos actuales que tienen los pacientes nos han conservando los fragmentos rotos. Con las técnicas más novedosas…
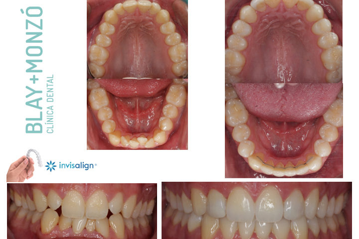
Caso: Invisalign Os presentamos un caso de Ortodoncia con férulas transparentes (Invisalign) en el cual hemos corregido un plano inclinado sólo con ferulas transparentes. Cambiando por completo la sonrisa de la paciente. Después del Clin Check o planificación (la paciente ve el resultado final antes de comenzar el tratamiento) se inicia el tratamiento con las…
Caso: Odontologia multidisciplinar en la clinica dental En nuestra clínica dental en Castellón aplicamos el concepto de Odontología Multidisciplinar en el cual todas las especialidades dentales se juntan para realizar tratamientos como este. Odontología restauradora, implantología dental, periodoncia, estética dental y prótesis dental para cambiar la sonrisa y mejorar la masticación de este paciente. Casos reales…
Escáner intraoral El escáner intraoral está sustituyendo a las clásicas impresiones dentales o “toma de impresiones”; esto último es uno de los procedimientos habituales que se realizan en cualquier clínica dental. Se utiliza una pasta, habitualmente alginato o una silicona especial, que se introduce en la boca del paciente, obteniendo así un negativo de la…
Caso Periodoncia y Estética Os presentamos un caso de odontología integral (Periodoncia y Estética). Paciente que acude a nuestra consulta concienciada de su enfermedad periodontal que nos pide mejorar la estética en el sector anterior. Le habían comentado que no se podía. El tratamiento de la enfermedad periodontal deja como consecuencia, en algunos casos, espacios negros donde…
Elevación de Seno La elevación de seno maxilar es la intervención para ganancia de hueso perdido más realizada en el sector posterior del maxilar superior. Es el obstáculo más habitual en esta zona para la colocación de implantes dentales osteintegrados y por lo tanto prótesis fija. En nuestra clínica dental de Castellón , el dr. Gonzalo…
Rehabilitación oral Paciente de 71 años que acude para rehabilitación oral a nuestra clínica dental de Castellón con múltiples pérdidas dentales y desgastes. No podía comer y estaba cansado de su apariencia. Rehabilitación con coronas e implantes dentales. Paciente satisfecho con el resultado final. Bonita estética y sin problemas para masticar.
Cefaleas y Migrañas Las Cefaleas y Migrañas se están asociando cada vez más a problemas dentales o en la articulación temporomandibular. Cada vez son más pacientes que nos llegan a nuestra clínica dental de Castellón aquejados de dolores de cabeza, migrañas, cefaleas o dolores tensionales de difícil explicación. Incluso remitidos por Otorrinos o Neurólogos para la…
TAC dental Acabamos de incorporar al centro nuestro nuevo TAC dental o CBCT (Cone Beam Computed Tomography). Ya veníamos trabajando con imágenes en 3D desde que abrimos la clínica. Ahora lo hemos incorporado al centro buscando la excelencia y comodidad para nuestros pacientes. Un Tac dental o cbct de 12 *9 anatómico, es decir, de…
Reconstrucciones de composite como tratamiento provisional Las reconstrucciones de composite se han quedado en la odontología actual como tratamiento diario para la tratamiento de caries dentales, reconstrucciones dentales después de endodoncias, estética… Es un material biocompatible y estético. En clínica Blay-Monzó realizamos un tratamiento llamado “inyección de composite” en la que, en tan solo dos visitas, colocamos…
Ortodoncia. La ortodoncia es una de las especialidades de la Odontología que más especialización precisa.Esto lo llevamos a la máxima expresión en nuestra clínica de Castellón Una excelente planificación evita problemas a corto y largo plazo.La planificación y el estudio en cualquier tratamiento de ortodoncia es esencial y obligatorio para ver donde podemos llegar y de que…
Dentistas con nombres y apellidos Somos Dentistas en Castellón con nombres y apellidos. Después de los últimos acontecimientos acaecidos en nuestro sector y las últimas noticias aparecidas en los medios aconsejamos a la población que acuda a clínicas propiedad de dentistas y no de empresas. Los cierres de las clínicas dentales de propiedad de empresas…
All on 4. Técnica de implantología. La técnica de implantologia All on 4 consiste en una técnica de implantes dentales con carga inmediata en la cual se colocan implantes angulados para evitar estructuras anatómicas importantes adyacentes. Con esta técnicas de implantes se colocan los dientes el mismo día que la colocación de los implantes. Las…
Rehabilitación oral. Caso Una rehabilitación oral multidisciplinar es aquella en la que, para su realización, se requiere la participación diferentes disciplinas. En este caso, estética, ortodoncia, prótesis y conservadora. Paciente con grandes desgastes en las caras oclusales de los molares inferiores, así como en los incisivos centrales superiores. Origen de su maloclusión Lo primero que…
Aislamiento dental Recientemente tuve la oportunidad de perfeccionar la técnica de aislamiento dental de la mano del doctor Victor Guerrero en Barcelona. Allí se le dio la importancia que merece. ¿En que consiste un aislamiento dental mediante dique? El aislamiento como concepto en la odontología es aquel conjunto de maniobras cuya finalidad es la de…
Formación en Odontología El pasado fin de semana el dr. Gonzalo Blay estuvo invitado en el Master de Implantologia, regeneración ósea e Implantoprótesis de la UCAM ( Universidad Católica de Murcia) para hablar de Odontología Digital, Cad – Cam, nuevos materiales en Odontología y Cirugía guiada sobre implantes Los alumnos se interesaron por las nuevas…
5 º Aniversario de la clínica En este post queremos hablar de nuestro 5º aniversario este año hemos cumplido 5 años desde que abrimos. Parece que fue ayer cuando abrimos las puertas de este centro. empezamos 3 personas con toda la ilusión del mundo y, poco a poco hemos crecido hasta conseguir un equipazo de…
Ácido hialurónico en la clínica dental. Hemos incorporado la aplicación del Ácido Hialurónico en nuestra cínica dental de Castellón. El dr. Gonzalo Blay ha estado en el curso organizado por Miromed, BEfiller y Esorib con el dr. Ivano Lupinno dermatólogo italiano. Durante el curso se han tratado más de 20 pacientes aplicando diferentes técnicas de…
Cirugía oral La Cirugía Oral es la parte de la Odontología que trata del diagnóstico y del tratamiento quirúrgico y coadyuvante de las enfermedades, traumatismos y defectos de los maxilares y regiones adyacentes. Las principales disciplinas son: Cirugía bucal preprotésica. Es un tipo de cirugía que se realiza para mejorar la zona adonde se va…
Impresión 3D Hoy en día las ciencia ha hecho posible grandes avances en el campo de la odontología.Cosas que ni se podían imaginar son un hecho pocos años después. La Impresión 3D en la clínica dental. Las nuevas tecnologías en este campo llegan con mucha fuerza y para quedarse. Toda nueva técnica, protocolo o tratamiento que…
Microscopio dental El microscopio dental es la ultima novedad en nuestra clínica dental en Castellón. Actualmente la odontología ha evolucionado mucho y con ello la tecnología que se emplea en este ámbito. Con el uso del microscopio en el sector dental conseguimos mejores resultados además de actuar con mayor precisión Con el microscopio logramos una mejor…
Caso: Erosión por bulimia A contininuacion os presentamos un caso clínico de una chica que había tenido problemas bucodentales asociados a un trastorno alimenticio como la bulimia. Rehabilitamos las erosiones producidas en los dientes con una técnica de odontología adhesiva minimamente invasiva. Los trastornos alimenticios tienen el potencial de destruir no sólo su cuerpo y…
Salud oral en vacaciones No descuides tu salud oral en vacaciones . La época estival puede provocar el descuido de la salud oral, y hay que recordar que es precisamente en esta época cuando más pueden proliferar las bacterias de la boca, ya que se come más fuera de casa, se consumen en mayor medida alimentos…
Cookies
Para que este sitio funcione adecuadamente, a veces instalamos en los dispositivos de los usuarios pequeños ficheros de datos, conocidos como cookies. La mayoría de los grandes sitios web también lo hacen.
Aceptar
Cambiar ajustes
Configuración de Cookie Box
Configuración de Cookie Box
Ajustes de privacidad
Decida qué cookies quiere permitir.
Puede cambiar estos ajustes en cualquier momento. Sin embargo, esto puede hacer que algunas funciones dejen de estar disponibles. Para obtener información sobre eliminar las cookies, por favor consulte la función de ayuda de su navegador.
Aprenda más sobre las cookies que usamos.
Con el deslizador, puede habilitar o deshabilitar los diferentes tipos de cookies:
Este sitio web hará:
Este sitio web no:
Esencial: recuerde su configuración de permiso de cookie
Esencial: Permitir cookies de sesión
Esencial: Reúna la información que ingresa en un formulario de contacto, boletín informativo y otros formularios en todas las páginas
Esencial: haga un seguimiento de lo que ingresa en un carrito de compras
Esencial: autentica que has iniciado sesión en tu cuenta de usuario
Esencial: recuerda la versión de idioma que seleccionaste
Functionality: Remember social media settings
Functionality: Remember selected region and country
Analytics: Keep track of your visited pages and interaction taken
Analytics: Keep track about your location and region based on your IP number
Analytics: Keep track of the time spent on each page
Analytics: Increase the data quality of the statistics functions
Advertising: Tailor information and advertising to your interests based on e.g. the content you have visited before. (Currently we do not use targeting or targeting cookies.
Advertising: Gather personally identifiable information such as name and location
Recuerde sus detalles de inicio de sesión
Esencial: recuerde su configuración de permiso de cookie
Esencial: Permitir cookies de sesión
Esencial: Reúna la información que ingresa en un formulario de contacto, boletín informativo y otros formularios en todas las páginas
Esencial: haga un seguimiento de lo que ingresa en un carrito de compras
Esencial: autentica que has iniciado sesión en tu cuenta de usuario
Esencial: recuerda la versión de idioma que seleccionaste
Functionality: Remember social media settings
Functionality: Remember selected region and country
Analytics: Keep track of your visited pages and interaction taken
Analytics: Keep track about your location and region based on your IP number
Analytics: Keep track of the time spent on each page
Analytics: Increase the data quality of the statistics functions
Advertising: Tailor information and advertising to your interests based on e.g. the content you have visited before. (Currently we do not use targeting or targeting cookies.
Advertising: Gather personally identifiable information such as name and location