Cefaleas y Migrañas

Agenda ahora tu reserva con nuestro especialista

Índice de contenidos

[vc_row][vc_column][vc_column_text]

Cefaleas y Migrañas

[/vc_column_text][vc_column_text]Las Cefaleas y Migrañas se están asociando cada vez más a problemas dentales o en la articulación temporomandibular. Cada vez son más pacientes que nos llegan a nuestra clínica dental de Castellón aquejados de dolores de cabeza, migrañas, cefaleas o dolores tensionales de difícil explicación. Incluso remitidos por Otorrinos o Neurólogos para la realización de una férula de descarga, de relajación , de Michigan, etc. Los tratamientos de la articulación los combinamos cada vez más con diferentes técnicas como son la fisioterápia o la aplicación de otros métodos como reeducación de hábitos posturales, masticación, ortodoncia, rehabilitación oral, cirugía oral (exodóncia muelas del juicio) etc.

Ya más comprometida es la relación con Neuralgias faciales o neuralgias del trigémino . Aunque existen autores que si que aseguran su relación. Cirugías del maxilar superior, ajustes oclusales son junto a lo descrito anteriormente lo que se hace.

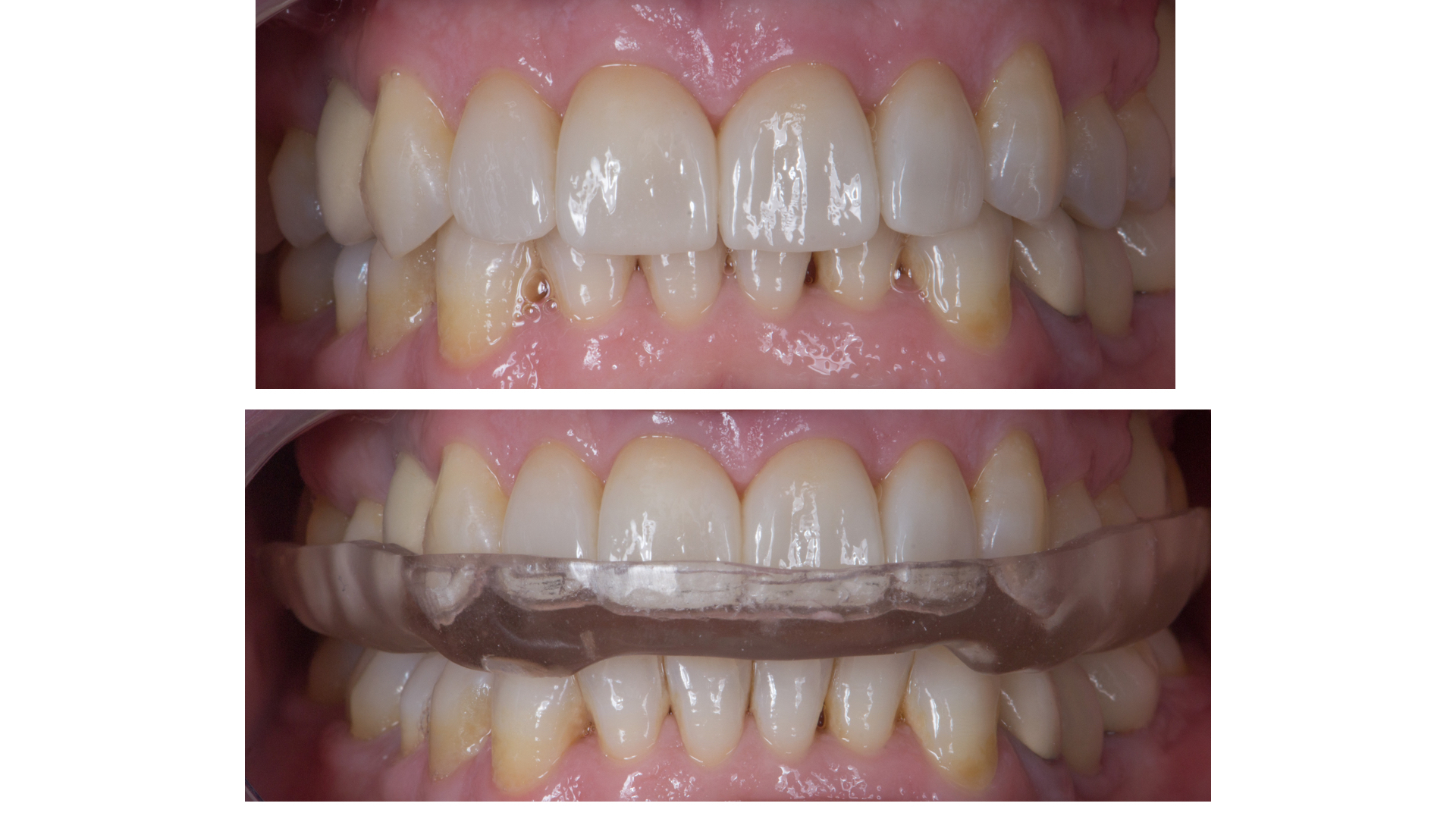
Cada férula de descarga es de una forma, diseño y material diferente y no vale todo para todo.Cada férula y sus posteriores ajustes nos llevan 4 – 5 visitas y no es un tratamiento al 100% predecible. Lleva asociado un compromiso por parte del paciente[/vc_column_text][vc_single_image image=»5864″ img_size=»full» alignment=»right»][vc_column_text]Aqui os dejamos una última referencia que asocia estos términos. Aquí https://www.neurologia.com/noticia/6495/asocian-el-dolor-temporomandibular-con-la-frecuencia-de-episodios-de-migrana[/vc_column_text][/vc_column][/vc_row]

Artículos similares
Carillas dentales
Carillas dentales
Todos deseamos tener una sonrisa brillante que nos brinde seguridad y confianza no solo al hablar...
Manchas en los dientes post
Manchas en los dientes
Todos deseamos tener una sonrisa brillante que nos brinde seguridad y confianza no solo al hablar...
Imagen de Francisco Monzó
Francisco Monzó

Estética, prótesis y restauradora

Disponibilidad:
Lunes – Jueves: 09:00h a 20:00h
Viernes: 09:00h a 15:00h