Reconstrucciones dentales
- Recupera la anatomía y estética natural de tus dientes.
- Reconstrucciones precisas, resistentes y mínimamente invasivas.
- Funcionalidad y estética en un solo tratamiento conservador.
Las reconstrucciones dentales son aquellos tratamientos basados en rehacer la anatomía dental perdida, ya sea por caries o por traumatismos.
Hay diversos tipos y marcas de materiales pero nos centraremos en las resinas. Depende de múltiples factores el seleccionar un tipo de resina u otro:
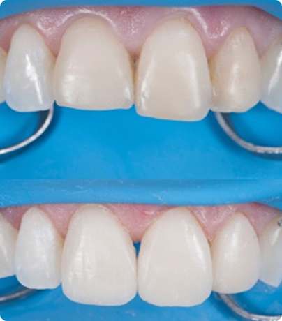
Si es en una zona estética, tendremos que utilizar resinas estéticas (nano relleno). Se basa en técnicas específicas para estas zonas (incisivos y caninos, sobre todo). Consiste en conferirle al diente la textura y color original, de manera que no se distinga la reconstrucción del diente. La técnica es compleja y requiere de manos expertas.
Si vamos a realizar una reconstrucción en un sector posterior (molares), deberemos utilizar composites con resistencia al desgaste y con capacidad de realizar espesores mayores en cada capa. En este caso, utilizamos composites de relleno submicrónico de última generación.
Si necesitamos colocar resinas en un lugar donde no podemos darle duz para que se endurezca, necesitamos un tipo de resina autopolimarizable. Es decir, que tiene que endurecerse por sí solo. En cambio, si podemos endurecerlo por luz, escogeremos otro tipo.
Ventajas de la reconstrucción dental
Recuperan la morfología y estética dental de manera poco invasiva
Mejora tu salud bucal
Es un tratamiento que conserva el diente
Mejora la función masticatoria
Alivia posibles dolores y molestias
Algunas preguntas frecuentes
¿Cuánto dura la reconstrucción dental?
Actualmente, con los materiales que contamos, las reconstrucciones de resina pueden durar hasta 10 años. Influyen en su duración las fuerzas que soporte, alimentación, hábitos, etc. Para eso es necesario conservarlas bien y acudir a la revisión e higiene anual para confirmar que no hayan desgastes ni filtraciones por caries.
¿Cómo es la reconstrucción de los dientes?
La reconstrucción dental es un tratamiento poco invasivo en el que se devuelve la morfología dental mediante la aplicación de resinas. Estas resinas se adaptan al diente capa por capa mediante la adhesión, siendo un tratamiento predecible. Hay varias causas por las que se necesite una reconstrucción, como las caries, traumatismos, fracturas o simplemente por estética. En cada caso el profesional elegirá el tipo de resina que más se adapte a sus necesidades, en cuanto a dureza, color y tipo de pulido.
Bruxismo y reconstrucción dental
En el caso de que el paciente padezca de bruxismo, el profesional valorará el tipo de restauración necesaria, ya que las resinas pueden irse desgastando poco a poco por esta causa. Se planificará el tratamiento viendo si las resinas son el material ideal o si hubiera que colocar incrustaciones de cerámica, ya que son más resistentes.
Contacte con nuestro equipo, está en buenas manos.