La férula de descarga es un aparato dental, que nos permite ofrecer una salida de calidad ante los problemas de bruxismo. En clínica Blay + Monzó te informaremos de las posibilidades de tratamiento ante esta patología cada vez más extendida.
En nuestra clínica dental de Castellón somos expertos en el tratamiento de diferentes tipos de patologías orales. Apostamos siempre por la individualización de cada caso, con el fin de ofrecerte un tratamiento de calidad y efectivo.
Si padeces bruxismo nuestro equipo puede ayudarte con el diseño de una férula de descarga a medida.
¿QUÉ ES EL BRUXISMO Y POR QUÉ SE PRODUCE?
El bruxismo es un hábito involuntario por el que quien lo padece rechina constantemente los dientes. El rechinamiento dental se suele producir durante la noche, es decir, mientras se está durmiendo, o en momentos de relajación total. La principal característica de esta condición es que quien lo sufre no se da cuenta de que está apretando los dientes sin control. Por este motivo, el diagnóstico temprano es bastante complicado.
Habitualmente es el estrés el culpable de la afección, aunque no es la única causa conocida de bruxismo:
- Los cuadros de ansiedad y estrés pueden generar rechinamiento dental.
- Las personas que tienen maloclusiones y problemas de mordida suelen ser más propensas a sufrir bruxismo.
- Los dientes mal posicionados o alienados también pueden generar el rechinamiento dental.
- Algunas patologías periodontales incipientes podrían favorecer esta afección.
- La apnea obstructiva del sueño y hábitos poco saludables al dormir también aumentan el riesgo a sufrir dicha condición.
- Trastornos respiratorios y la disfunción en la articulación temporomandibular (ATM) son también causas conocidas de bruxismo.
Contra el bruxismo, lo importante es que identifiquemos debidamente cuál es la causa que está provocando ese rechinamiento dental. Mediante el uso de una buena férula de descarga lo que conseguimos es frenar los daños que provoca el rechinamiento dental, pero no tratamos la afección de raíz.
En muchos casos, nuestra ortodoncista debe de unir sus fuerzas al resto del equipo, con el fin de determinar si el problema radica en las estructuras óseas o se debe a un problema de mordida. En el caso de que el bruxismo sea consecuencia de un pico alto de estrés o ansiedad, la terapia psicológica es una buena alternativa de tratamiento.
Principales síntomas del bruxismo
El acto de rechinar los dientes es completamente involuntario, por ello, suele ser la familia quien detecta que esto está sucediendo o el diagnóstico se produce a consecuencia de la presencia de signos o síntomas claros:
- Dolores musculares, tanto en la zona de las cervicales, como en la cara.
- Molestias claras en la cabeza o en el oído al despertar.
- Esmalte dental desgastado, con presencia de fisuras o roturas.
- Incremento de la sensibilidad dental, sobre todo ante los estímulos externos fríos o calientes.
- Inflamación de encías.
- Dolor en las encías.
- Retracción gingival.
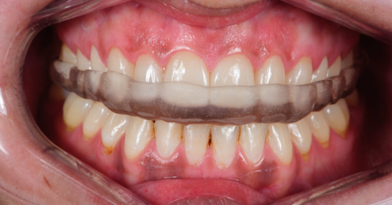
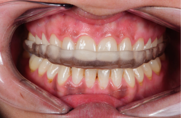
¿QUÉ ES LA FÉRULA DE DESCARGA?
Una férula de descarga es un aparato dental que utilizamos para evitar los daños que provoca el bruxismo.
Lo que conseguimos con la férula de descarga es proteger a la sonrisa de la presión que ejercen los dientes al ser apretados en exceso. De esta forma, evitamos que el tanto el esmalte dental como las restauraciones realizadas sufran demasiado y minimizamos las opciones de desgaste de los dientes o fracturas de las restauraciones.
En la Clínica apostamos por la fabricación a medida de nuestras férulas de descarga.
Esto nos permite ofrecer un nivel de protección elevado. Habitualmente, este aparato, conocido también como protector bucal, solo se coloca en una de las arcadas dentales a lo largo de toda la noche. No obstante, en función de la gravedad del problema, es posible que nuestros expertos recomienden llevar la férula durante algunas horas por el día.

Ventajas de la férula de descarga
- Protege a los dientes y encías de los daños del bruxismo.
- Minimiza los posibles dolores y molestias, tanto a nivel muscular como en la cabeza.
- Evita la hipersensibilidad dental.
- Protector bucal muy cómodo, que se fabrica a medida y se adapta completamente a tu dentadura.
- Mejora el sueño y el descanso de quien sufre bruxismo.
Con la férula de descarga logramos eliminar los daños que genera el bruxismo con total seguridad.
Visita nuestra clínica para una valoración.
¿Tiene alguna duda sobre algún tratamiento?
Contacte con nuestro equipo, está en buenas manos.

